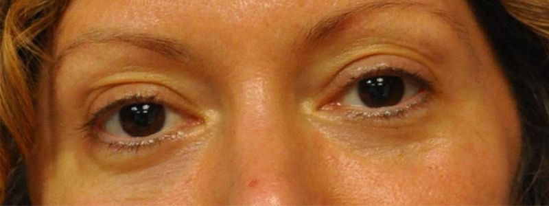
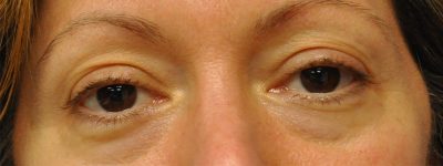
- Gender
- Female
Description
Dermal filler to the tear troughs for a perfect non-surgical eye rejuvenation treatment in Long Island, NY.
If you would like to learn more about Dermal Fillers & Botox schedule a consultation with Dr. Vandegrift at our office by calling (631) 935-0303 or filling out our contact form here.